Tongue tie, medically known as ankyloglossia, is a condition where the band of tissue (frenulum) that attaches the tongue to the floor of the mouth is shorter or tighter than usual, restricting the tongue�s movement. This can lead to various issues such as difficulties in speaking, swallowing, breastfeeding, and even dental and oral health problems.
Tongue Tie: Understanding Its Impact
- Latch Challenges: A tight frenulum may hinder a proper latch, leading to discomfort and potential nipple damage for the mother.
- Reduced Milk Transfer: Limited tongue movement can result in inadequate milk extraction, affecting the baby�s nutrition.
- Frustration & Fatigue: Difficulty feeding can leave the baby frustrated and fatigued, impacting feeding duration and weight gain.
- Gas & Colic: Inefficient swallowing due to tongue tie can lead to excessive air intake and gastrointestinal discomfort.
- Importance of Evaluation: Timely identification and evaluation of tongue tie are crucial to address any feeding difficulties.
How do you know if baby has tongue tie?
Tongue tie (or ankyloglossia to give it its medical name) is when the frenulum � which is the piece of tissue that joins the tongue to the floor of the mouth � is too short and thick.
In some cases tongue tie does not cause any problems for baby. In others, it can create difficulties in feeding for both baby and mother.
In order to breastfeed well, the baby needs to extend their tongue out over the bottom gum. This helps protect the nipple from damage. When they cannot do this it results in a lot of pain for the mother while breastfeeding.

It can also mean that babies with tongue tie find it harder to open their mouths wide and struggle to latch on to the nipple when breastfeeding.
They might suck harder to try and feed and may also bite the nipple more, in frustration as well as to try to get milk.
Tongue tie should ideally be picked up in the first routine check by your midwife. However it�s not always easy to spot and that might mean that it goes undiagnosed until feeding issues become apparent.
Tongue tie symptoms include:
Baby not being able to lift their tongue to reach their upper gum.
Baby struggling to move their tongue from side to side.
Baby not being able to stick their tongue out past their lower gum or poke their tongue out past their lips.
The tongue tip itself may look flat or square, instead of pointy when it is stuck out. Or the tip might look heart-shaped.
Symptoms of tongue tie � tongue tie release and frenulotomy � can tongue tie release help your baby feed better

While some tongue ties are easy to diagnose, others can be much more difficult. Most commonly, babies have an anterior tongue tie � which is a tongue tie at the front of the mouth.
Some, however, have a posterior tongue tie, at the back of the mouth, which is much harder to spot. This is often called a �hidden tongue tie�. Sometimes posterior tongue ties are not even visible when the whole tongueue is lifted, but they do have an effect on baby�s tongue movement.


Often the only way to discover and get a posterior or hidden tongue tie diagnosed and treated, is to talk to and have baby examined by a health professional.
For patients with tongue tie, myofunctional therapy can be beneficial before or after corrective surgery to optimize functional outcomes and prevent any potential relapse. It�s a non-invasive and conservative approach that can have positive effects on speech, chewing, swallowing, breathing, and even facial development.
Myofunctional therapy is a specialized treatment approach that focuses on retraining the muscles of the tongue, lips, and face to improve their function and balance. It aims to address abnormal orofacial muscle patterns and habits, often associated with tongue tie and other oral conditions. The therapy helps to strengthen and coordinate these muscles, leading to better oral function and overall facial harmony.
Tongue tie correction in myofunctional therapy can be highly beneficial for kids in several ways:
Improved Speech: Correcting tongue tie can help improve speech development in children. A tight frenulum can hinder proper tongue movement, leading to speech difficulties, articulation issues, and pronunciation problems. After the tongue tie correction, myofunctional therapy can help retrain the tongue muscles and improve speech patterns.
Easier Feeding: Tongue tie can affect breastfeeding and bottle-feeding in infants. By releasing the restrictive frenulum, babies can latch on more effectively, leading to improved feeding and better nutrition. Myofunctional therapy can further enhance swallowing and tongue coordination during feeding.
Dental Health: Tongue tie correction combined with myofunctional therapy can positively impact dental health. A restricted tongue can contribute to improper oral posture and lead to issues like malocclusions, teeth misalignment, and even cavities. Myofunctional therapy helps establish proper tongue posture and swallowing patterns, promoting better dental alignment.
Breathing and Airway: Tongue tie can sometimes be associated with airway restrictions, which may lead to mouth breathing. Myofunctional therapy can help children adopt proper nasal breathing and tongue posture, which is essential for maintaining clear airways and overall respiratory health.
Facial Development: Addressing tongue tie and its effects on oral muscle function can contribute to better facial development. Myofunctional therapy can help create proper facial muscle balance, which can positively influence the growth and development of the jaw and facial structures.
Overall Health and Well-being: By addressing tongue tie and its related issues through myofunctional therapy, children can experience better oral health, improved communication, and enhanced overall well-being, leading to a better quality of life as they grow.
It�s important to work with a qualified healthcare professional, such as a pediatric dentist or speech therapist, who is experienced in both tongue tie correction and myofunctional therapy, to ensure the best outcomes for children.
At Bunnyteeth Dental Clinic, tongue tie correction through myofunctional therapy can offer several benefits to kids:
Comprehensive Evaluation: The team at Bunnyteeth Dental Clinic will conduct a thorough evaluation of the child�s tongue tie condition and its impact on their oral health and development. They will assess speech patterns, feeding difficulties, dental alignment, and other relevant factors.
Expert Tongue Tie Correction: If the child�s evaluation indicates the need for tongue tie correction, the skilled professionals at Bunnyteeth Dental Clinic can perform the procedure with precision and care. Correcting the tongue tie can help address issues related to speech, feeding, and oral health.
Individualized Myofunctional Therapy: After tongue tie correction, the clinic�s experts will tailor myofunctional therapy sessions specifically to the child�s needs. This therapy aims to retrain and strengthen the tongue and oral muscles, promoting proper swallowing, speech patterns, and facial development.
-Friendly Approach: Bunnyteeth Dental Clinic takes a child-friendly approach to ensure that kids feel comfortable and at ease during their visits. This positive environment can help children cooperate better during therapy sessions, enhancing the effectiveness of the treatment.
Preventive Care: Beyond the correction and therapy, the team at Bunnyteeth Dental Clinic emphasizes preventive care to maintain the resChildults and promote long-term oral health for the child. This may include guidance on proper oral hygiene, diet, and habits to support overall well-being.
Collaborative Care: Bunnyteeth Dental Clinic fosters collaboration between their team members, including pediatric dentists, orthodontists, and speech therapists. This collaborative approach ensures that all aspects of the child�s oral health and development are addressed comprehensively.
By combining tongue tie correction and myofunctional therapy at Bunnyteeth Dental Clinic, kids can experience improved speech, feeding, dental health, and facial development, leading to a healthier and happier childhood
Calling all Parents: Unlock the Power of Lip Tie Awareness for Your Child`s Health!
As caring parents, we want the best for our children, and their oral health is no exception!
What is a lip tie, and how does it affect your child`s health and well-being? Learn about the signs and symptoms to watch out for in infants and toddlers. Understand the potential effects on breastfeeding, speech articulation, and dental health as your child grows. Mark your calendar for to secure your child`s bright smile and confident speech.

Expert dentist, Dr. Santosh Kumari, will guide you through the essentials of lip ties and their significance in your child`s life. With early awareness and intervention, we can ensure our little ones reach their full potential!
Lip ties can affect babies and have potential impacts on breastfeeding and speech development. Here`s some information on how to identify lip ties in your baby and their treatment:
Signs and Symptoms: Keep an eye out for the following signs that may indicate your baby has a lip tie:
Difficulty latching during breastfeeding or bottle feeding.
Poor weight gain or slow growth.
A shallow latch, causing discomfort during feeding.
Clicking noises while nursing.
Excessive gas or colic-like symptoms after feeds.
Difficulty flanging the upper lip outward.
Consult a Pediatric Dentist : If you suspect your baby has a lip tie, seek professional guidance. A pediatric dentist or a lactation consultant can perform a thorough examination and provide a diagnosis.
Treatment Options: If a lip tie is diagnosed, treatment may be recommended to address any potential issues. Treatment options include:
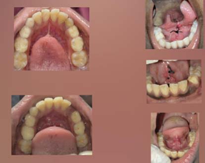
Laser Frenectomy: Using a specialized laser to release the lip tie, allowing better lip movement and improved latch during feeding.
Scissor Frenectomy: A simple surgical procedure where a dentist or doctor snips the lip tie to free the lip`s movement.
Post-Treatment Care: After the procedure, follow the post-treatment care instructions provided by the healthcare professional. This may include gentle exercises to prevent reattachment and promote healing.
Remember, early detection and intervention can have a positive impact on your baby`s feeding experience and speech development. If you have any concerns, it`s essential to consult a healthcare professional for proper assessment and guidance.As a dentist and advocate for maternal and infant health, spreading awareness about the importance of the tongue in breastfeeding and the impact of tongue tie can make a positive difference in supporting successful breastfeeding journeys!
